Cilj endodontskog tretmana je spriječavanje inflamacije i postizanje produženog efekta procedure. Kako bi se ovo postiglo, veoma je važno primjeniti adekvatne tehnike tokom planiranja tretmana, dizajniranja pristupnog kaviteta, kao i u fazi preparacije. Ono što je takođe važno je protokol irigacije koji može dramatično utjecati na konačan ishod. Poslednje, ali ne i manje važno, jeste odabir tehnike opturacije radi ispune trodimenzionalnog prostora sistema kanala, što je ključno za postizanje rezultata visokog nivoa.
U posljednje vreme proširen je izbor tehnika opturacije.Tokom kreiranja pristupnog kaviteta kliničari su skloni pravljenju grešaka koje mogu voditi do problema pri slijedećoj fazi, fazi traženja kanala. Prilikom pripreme ulaska u komoru pulpe ključno je pospješivanje vidljivosti pulpalnog poda i pretraga svih šupljina kanala. Prema literaturi NEC dizajn nije od važnosti u odnosu na CEC dizajn pristupnog kaviteta, u smislu biomehanike. Međutim, može utjecati na vidljivost ili izazvati transport kanala u srednjem delu krivina. Tokom traženja kanala i faze preparacije takođe može doći do griješaka. Možemo naići na različite konfiguracije problema. Prvi je perforacija poda pulpne komore. Do toga najčešće dolazi zbog neadekvatne tehnike traženja krivina kanala. Kliničar mora biti veoma pažljiv tokom ovog koraka jer problem može postati nerješiv zbog biomehaničkih karakteristika strukture zuba. Ono što bi takođe trebalo uzeti u obzir jeste činjenica da vezivanje poda pulpne komore zavisi od materijala. Možemo birati između različitih materijala i različitih metoda.
SLIKA 0
Tokom pripreme kanala kliničari često prave greške kao što je perforacija ili transport kanala, separacija i mnoge druge. Jedan od najstresnijih problema jeste perforacija kanala.
Perforacija u prostoru kanala može nastati zbog pogrešnog redosleda instrumenata ili tehnike uopšteno, kao i zbog pretjeranog četkanja. Perforacija može nastati na unutrašnjim krivinama kanala. Kada se ovo dogodi, najčešće se susrećemo sa obilnim krvarenjem i problemima sa vidljivošću. Dodatne komplikacije nastaju kada moramo tretirati stare perforacije koje su povezane sa lezijama.
Tehnika
Tretman perforacija unutrašnjih krivina je komplikovan i težak, naročito ukoliku su perforacije velike. Kako bi se zatvorile, neophodno je odabrati odgovarajući materijal. Materijal izbora trebalo bi da bude biokeramika. Rukovanje materijalom i vreme slijeganja veoma su važni za ovaj postupak. Tehnika nanošenja je laka, jer se koriste biokeramički špricevi sa savitljivom iglom. Prilikom pripreme veoma je važno očistiti i osvježiti margine, naročito kod starih perforacija.
Kada su u pitanju lezije, važno je da prostor kanala bude suv. Zbog toga je neophodno uključiti pravilnu irigaciju i aktivaciju tečnosti. Za podsticanje zacjeljivanja kosti ključno je apikalno zatvaranje i uklanjanje uzroka infekcije, kao i stimulisanje kosti adekvatnim izborom materijala kao što su sileri/fileri.
Slučaj 1
Pacijentkinja stara 36 godina poslata je u našu ordinaciju radi tretmana velike perforacije na zubu 46, u medijalnom i distalnom kanalu. Izvršeni su CBCT kao i RVG pregledi. CBCT je pokazao veliku sesiju koja perforira kost.
SLIKA 1
Klinički, uočen je značajan gubitak strukture zuba. Pacijentkinja je informisana o složenosti procedure i procentu uspješnosti, što je prihvatila i odlučila da sprovede tretman. Nakon davanja anestezije stavljen je koferdam na zub 46. Na osnovu CBCT snimka dezinfikovana su dva radna polja primjenom hipohlorita. Na osnovu rezultata CBCT pregleda uočeno je postojanje dve perforacije, mezijalno i distalno. Nakon stavljanja kolagene membrane u perforacije radi kreiranja podloge za biokeramiku, stavljen je Biodentine (Septodont). Ovaj materijal je izabran zbog fantastičnih karakteristika primjene i kratkog vremena slijeganja što je najvažnije prilikom izvođenja tretmana tokom jedne posjete. Biodentine (Septodont) pripremljen je u skladu sa uputstvom za upotrebu i stavljen na lokalitet. Cement je blago kondenzovan i oblikovan pomoću papirnih poena.
SLIKA 2
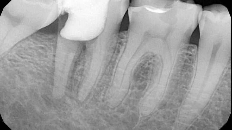
Nakon finalnog slijeganja materijala, koje traje oko 10 – 11 minuta, izvedena je preparacija kanala. Korišćeni su reciprocitetni instrumenti veličine 25/08. Tokom ove procedure korišćena je obilna količina tečnosti za ispiranje. Nakon lociranja apeksa priprema je završena. Uveden je finalni protokol irigacije kao i aktivacija irigatora pomoću ultrazvučnog uređaja (6000Hz).
SLIKA 3
Zbog lezija, vezanih i za apikalnu regiju, odlučeno je da se primeni biokeramički siler (BioRoot RCS, Septodont) kao filer. Sprovedena je tehnika opturacije i zub je adekvatno zatvoren kompozitnim materijalom, direktnom tehnikom. Zbog biomehanike, bio je van okluzalne ravni. Pacijent je obavešten o potrebi za restauracijom indirektnim onlejem. Finalna protetska restauracija planirana je i izvedena pomoću cad/cam brušenog kompozitnog materijala.
SLIKA 4
SLIKA 5
SLIKA 6
Nakon 4 meseca pacijent je pozvan na kontrolu. CBCT pregled je pokazao da je došlo do procesa zacijeljivanja i da je kost ponovo izgrađena.
SLIKA 7
Slučaj 2
Pacijentkinja stara 41 godinu upućena je u našu ordinaciju radi ponovnog tretmana zuba 36. Nakon CBCT i RVG pregleda uočena je lezija nastala zbog neadekvatne opturacije i verovatno nepravilnog protokola irigacije. Kontrola infekcije nije uspela u ovom slučaju, međutim, zub je bio asimptomatičan. Odluka o ponovnom tretmanu je doneta i započeto je sprovođenje procedure.
SLIKA A
Nakon davanja anestezije stavljen je koferdam. Kreiran je pravolinijski pristupni kavitet. Ovo je bilo moguće zbog velike kompozitne restauracije. Očuvanje restauracije nije imalo smisla jer je morala biti uklonjena i zamijenjena zbog marginalnog curenja. Traženje kanalnih šupljina i redefinisanje zida urađeni su ultrazvučnim vrhom Cavi (VDW).
SLIKA B
SLIKA C
Faza preparacije urađena je reciprocitetnim instrumentima veličine 25/08. Zatim su sprovedeni protokol irigacije i aktivacija tečnosti.
SLIKA D
Zbog velikih vidljivih lezija odlučeno je da se upotrebi biokeramički filer/siler (BioRoot RCS, Septodont) sa gutaperka poenima.
Siler je blago ekstrudiran u leziju kako bi stimulisali proces zaceljivanja.
SLIKA E
Zub je restauriran pomoću direktnog kompozita i za konačnu formu stavljen je završni cad/cam kompozitni onlej.
SLIKA F
Pacijentkinja je informisana o situaciji i potrebi za kontrolnim posetama. Nakon četiri mjeseca pacijentkinja je pozvana na pregled i proveru tretmana. Urađeno je CBCT snimanje i uočen je proces zacijeljivanja.
SLIKA G
Zaključci:
Endodontska terapija značajno je evoluirala u poslednjoj deceniji. Kao kliničari, mi opažamo veliki napredak u pripremi kanala kao i u drugim aspektima endodontskih procedura, međutim, najvažniji faktor koji određuje naše tretmane jesu irigacija i opturacija koje su povezane sa pravilnim i mudrim odabirom materijala koji nam omogućava dugoročno, uspešno praćenje i nastavak tretmana. Stoga, kada je u pitanju opturacija kanala, Biokeramika je najbolji izbor.
DR GRZEGORZ WITKOWSKI
Rođen je 1979 u Bjalistoku u Poljskoj (Białystok, Poland). Studirao je na Medicinskom Univerzitetu u Varšavi (Medical University of Warsaw) i diplomirao 2003. godine.
Član je Evropske asocijacije za endodonciju (European Association of Endodontics), Poljske asocijacije za endodonciju (Polish Association of Endodontics) i Poljske akademije estetske stomatologije (Polish Academy of Aesthetic Dentistry)
Dr Witkowski je međunarodno priznat govornik i autor mnogih članaka iz oblasti endodoncije, CAD/CAM rešenja i upotrebe mikroskopa u svakodnevnoj praksi.
Od 2004. godine radi u privatnoj klinici u gradu Olštinu u Poljskoj (Olsztyn, Poland) i fokusiran je na endodonciju, CAD/CAM i estetsku stomatologiju. Privatno, suprug, otac i triatlonac amater.
Preosjetljivost zuba je bolno stanje koje često ostaje neliječeno. Učestalost pojave bolne preosjetljivosti zuba kod odraslih može se kretati u rasponu ...
DUNDEE, Škotska: Liječenje ireverzibilnog pulpitisa kod trajnih zuba prolazi kroz postepenu, ali značajnu promjenu. Napredak u razumijevanju dijagnostike...
BERLIN, Njemačka: Tehnike snimanja na bazi neutronskih zraka se ubrzano razvijaju i postaju mnogostrano primjenjive zbog svoje nedestruktivnosti. Naučnici...
LONDON, Engleska: Iako periapikalni parodontitis može povećati sistemsku upalu i povezan je s kardiovaskularnim rizikom i oštećenom kontrolom glikemije,...
SEOUL, Južna Koreja: Istraživači u Seulu mapirali su embrionalne zubne ćelije koje izgledaju kao da su unaprijed programirane ili za izgradnju samog ...
Obrazovanje
Webinar uživo sri. 22 travnja 2026 5:00 (CET) Sarajevo
ANKARA, Turska: S obzirom na to da dugoročne performanse CAD/CAM restorativnih materijala zavise i od njihovih intrinzičnih svojstava i od reakcije na ...
ŠARŽA, UAE: Pored negativnih nuspojava, zdravstveni stručnjaci su sve više zabrinuti da dugotrajna ili nepravilna upotreba vodica za ispiranje usta koje...
TIRUCHIRAPPALLI, Indija: Integracija umjetne inteligencije (AI) u medicinsko snimanje može podržati dijagnozu i smanjiti kliničko opterećenje. Nova ...