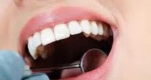
LONDON, UK: Britanski istraživači su kreirali novu spravu koja liječenje zubnog karijesa kroz proces električne reverzije čini bezbolnim tako što pomaže zubu da se sam remineralizira. Tehnika poznata kao Električki Ubrzana i Poboljšana Remineralizacija (eng. Electrically Accelerated and Enhanced Remineralisation-EAER) bi se mogla naći na tržištu u naredne tri godine.
S obzirom da se javlja kod 2.3 biliona ljudi godišnje, zubni karijes je jedna od najčešćih bolesti u svijetu koje se mogu spriječiti. Stomatolozi obično liječe zub zahvaćen karijesom bušenjem i popunjavanjem zuba materijalima kao što su amalgam i kompozitna smola.
Istraživači Reminove, početničke kompanije Kraljevskog Koledža u Londonu, imaju za cilj zacijeliti i izliječiti zub ubrzavanjem prirodnog procesa putem kojeg kalcij i fosfat minerali ponovo prodiru u zub da bi popravili nastalu štetu. Kreirali su napravu koja ubrzava prirodni proces zaliječivanja zuba.
Metoda koju je Reminova razvila se sastoji iz dva koraka: najprije priprema oštećeni dio vanjskog sloja cakline zuba, a potom uz pomoć veoma niske električne struje ubaca minerale u zub da bi se popravio oštećeni dio. Na ovaj način kvar se remineralizira kroz bezbolan proces koji ne zahtjeva bušenje, injekcije niti materijale za punjenje. Stomatolozi već koriste električne struje da provjere pulpu ili zubni živac. Nova sprava koristi znatno manju struju od onih koje se trenutno koriste u liječenju te je pacijenti uopšte ne mogu osjetiti.
embedImagecenter("Imagecenter_2_1289",1289,"small");
Profesor Nigel Pitts sa Stomatološkog Instituta Kraljevskog Koledža u Londonu kaže: „Način na koji danas liječimo zube nije idealan: kada popravimo zub punjenjem, taj zub ulazi u začarani krug bušenja i ponovnog punjenja jer često takvo popravljanje ne uspije. Naša sprava ne samo da je blaža prema pacijentu i bolja za njegove zube, već se očekuje i da će biti jednako efikasna kao i liječenje zuba koje se trenutno sprovodi. Pored popravljanja zubnog karijesa, naša sprava se može koristiti i za izbijeljivanje zuba.“
Reminova, koja trenutno traži privatna ulaganja za dalji razvoj sprave za remineralizaciju, je prva kompanija Centra za Stomatološke Inovacije sa Kraljevskog Koledža u Londonu pokrenutog u januaru 2013.godine. Centar je osnovan s ciljem pretvaranja istraživanja i novih tehnologija u proizvode koji će donijeti promjene u kliničkoj praksi i koji će poboljšati zdravlje i zdrvstvenu skrb širom svijeta.
HONG KONG: Prema studiji Global Burden of Disease, karijes u ranom djetinjstvu pogađa otprilike 530 milouna djece širom sveta, pa tako postaje jedno od ...
HONG KONG: Prema studiji Global Burden of Disease, karijes u ranom djetinjstvu pogađa otprilike 530 milijuna djece diljem svijeta, čime postaje jedno od...
Belfast, Velika Britanija: Prema najnovijem istraživanju naučnika sa Kvins univerziteta u Belfastu (Queen’s University Belfast) aspirin bi mogao da se ...
Preosjetljivost zuba je bolno stanje koje često ostaje neliječeno. Učestalost pojave bolne preosjetljivosti zuba kod odraslih može se kretati u rasponu ...
Appleova poštapalica je „There’s an app for that“ (postoji aplikacija za to), ali s rastućom popularnošću mobilnih ...
Louisville, KY, SAD: Istraživači sa Sveučilišta u Lousivilleu korak su bliže eliminaciji parodontalnih bolesti svojim radom u kojem ...
Louisville, KY, SAD: Istraživači sa Sveučilišta u Lousivilleu korak su bliže eliminaciji parodontalnih bolesti svojim radom u kojem stvaraju ...
ADELAIDE, Australija: Deca koja su dojena najmanje dve godine mogu imati veći rizik od razvoja karijesa na zubima prema istraživanju Univerziteta u ...
SANTIAGO, Čile: Za pljuvačku se oduvek zna da blagotvorno deluje na zarastanje rana, a time se bavilo i novo naučno istraživanje kojim se tražio razlog...
DUNDEE, Škotska: Liječenje ireverzibilnog pulpitisa kod trajnih zuba prolazi kroz postepenu, ali značajnu promjenu. Napredak u razumijevanju dijagnostike...
Webinar uživo
sri. 22 travnja 2026
5:00 (CET) Sarajevo
MDT Andreas Chatzimpatzakis
Webinar uživo
sri. 22 travnja 2026
5:00 (CET) Sarajevo
Webinar uživo
sri. 22 travnja 2026
6:00 (CET) Sarajevo
Webinar uživo
čet. 23 travnja 2026
5:00 (CET) Sarajevo
Webinar uživo
čet. 23 travnja 2026
6:30 (CET) Sarajevo
Webinar uživo
čet. 23 travnja 2026
7:00 (CET) Sarajevo
Webinar uživo
čet. 30 travnja 2026
1:00 (CET) Sarajevo
Dr. Renato Leonardo D.M.D.
To post a reply please login or register