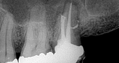
Los Anđeles, USA: Naučnici iz Kalifornije su nedavno radili istraživanje o mogućnostima malenog, ali moćnog saveznika koji može da se upotrebi za prevenciju infekcija nakon tretmana kanala korjena zuba. U kliničkom istraživanju utvrđeno je da nanodijamanti štite dezinfikovane kanale kojrena zuba nakon uklanjanja nerva i zubne pulpe, čime se povećava verovatnoća potpunog oporavka tkiva. Rezultati ovog istraživanja smatraju se veoma značajnim za primenu nanodijamanata kod ljudi.
Nanodijamanti su čestice ugljika toliko malene da milioni njih mogu da stanu u veličinu glave eksera. Čestice po obliku liče na fudbalsku loptu, ali imaju fasetirane površine, slično kao pravi dijamanti, koje omogućavaju česticama da na sebe primaju i otpuštaju različite vrste lijekova i kontrasta za snimanje.
“Korist tih jedinstvenih osobina nanodijamanata može se primjeniti u nauci, medicini i stomatologiji za prevazilaženje problema koji se javljaju u radu, kao što su npr. poboljšavanje zalečenja lezija u usnoj duplji,” rekao je Dr. Dean Ho, profesor oralne biologije na Stomatološkom fakultetu UCLA i jedan od koautora ovog istraživanja.
Istraživači su testirali gutaperke natopljene nanodijamantima kod tri pacijenta kod kojih je rađen endodontski tretman. Testiranje tih gutaperki aplikovanih u kanal korjena zuba pokazali su da su rezistentnije na izvijanje i lomljenje od običnih gutaperki. Kod sva tri pacijenta izlečenje je bilo kompletno, bez bolova (koji inače baš i nisu retka pojava) i infekcije.
Ovo istraživanje potvrdilo je da primjena nanodijamanata može da doprinese prevazilaženju barijera u različitim procedurama, kako u endodonciji, tako i u ortopediji, inžinjeringu tkiva itd.,” izjavio je Prof. dr Mo Kang, koautor istraživanja i profesor endodoncije na UCLA.
Istraživanje, pod naslovom “Clinical validation of a nanodiamond-embedded thermoplastic biomaterial,” objavljeno je u onlajn izdanju časopisa Proceedings of the National Academy of Sciences 23.oktobra 2018.godine, uz naknadnu objavu u štampanom izdanju.
Oznake:
Još od samog početka 20. veka, kada su Valter Hess i Ernest Zurcher predstavili anatomiju kanala korena sa, do tada neviđenom vizuelnom jasnoćom, ...
LONDON, Engleska: Iako periapikalni parodontitis može povećati sistemsku upalu i povezan je s kardiovaskularnim rizikom i oštećenom kontrolom glikemije,...
CLEVELAND, USA: Naučnici već odavno znaju da preterana upotreba antibiotika više šteti nego što koristi i može da dovede do rezistencije na ...
ANAHEIM, USA/GUANGZHOU, Kina: Lečenje parodontitisa prema preliminarnim istraživanjima dovelo je do značajnog snižavanja krvnog pritiska među ...
DUNDEE, Škotska: Liječenje ireverzibilnog pulpitisa kod trajnih zuba prolazi kroz postepenu, ali značajnu promjenu. Napredak u razumijevanju dijagnostike...
Preosjetljivost zuba je bolno stanje koje često ostaje neliječeno. Učestalost pojave bolne preosjetljivosti zuba kod odraslih može se kretati u rasponu ...
LONDON, UK: Ptičica! Iako se koristi da bi nasmijala ljude, ova fraza očigledno izaziva upravo suprotno kod Britanaca. Prema rezultatima najnovije ankete,...
Ivoclar Vivadent nudi vam idealno koordinirane proizvode za visokokvalitetne, estetske i učinkovite tretmane ispuna. Neke od ovih proizvoda sada možete ...
Autor želi naglasiti da ortodont mora biti svjestan važnosti pregleda svakog pacijenta, te da je ispitivanje funkcije TMZ obavezno
ANKARA, Turska: S obzirom na to da dugoročne performanse CAD/CAM restorativnih materijala zavise i od njihovih intrinzičnih svojstava i od reakcije na ...
Webinar uživo
uto. 12 svibnja 2026
7:00 (CET) Sarajevo
Webinar uživo
čet. 14 svibnja 2026
6:00 (CET) Sarajevo
Webinar uživo
čet. 14 svibnja 2026
8:00 (CET) Sarajevo
Prof. Hani Ounsi DDS PhD FICD
Webinar uživo
uto. 19 svibnja 2026
5:00 (CET) Sarajevo
Webinar uživo
uto. 19 svibnja 2026
7:00 (CET) Sarajevo
Prof. Dr. med. dent. Ivo Krejci
Webinar uživo
sri. 20 svibnja 2026
1:00 (CET) Sarajevo
Dr. Graham Carmichael BDSc (Hons), DClinDent (Pros), FRACDS, Dr. Robert Gottlander DDS
Webinar uživo
sri. 20 svibnja 2026
3:00 (CET) Sarajevo