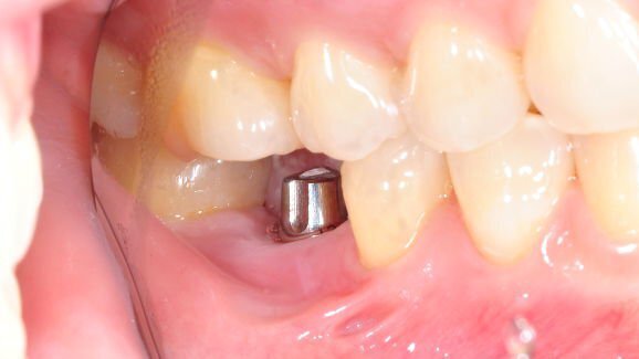
UPPSALA, Švedska: Uspjeh dentalnih i ortopedskih implantata uveliko zavisi od njihove integracije u tkivo kosti s kojom se spaja. Grupa istraživača na Uppsala Univerzitetu u Švedskoj je razvila nove navlake koje pokazuju napredniju implementaciju u kost te smanjenu mogućnost odbijanja implantata.
Preliminarni eksperimenti, sprovedeni od strane Instituta Laue-Langevin, internacionalnog istraživačkog centra sa sjedištem u Grenoblu u Francuskoj, su pokazali da površine titanijevog oksida, prekrivene gelom koji se sastoji od hijalurona pomiješanim sa bisfosfonatima, vežu za kost morfogenteski protein-2 koji se, nakon što površina dođe u kontakt sa otopinom kalcij iona, kontrolisano otpušta. Ovaj proces bi mogao, kako kažu istraživači, simulirati rast kosti oko implantata.
Istraživači trenutno planiraju testirati slične materijale za metalne implantate u pokušaju da se rezultati prenesu na kliničku primjenu.
„Predviđamo da će se ovi materijali u budućnosti koristiti u medicini prilikom prilagođavanja procesa liječivanja kosti“, istao je Prof. Dimitri Osipov, pokretač istraživanja i vandredni profesor univerziteta.
Istraživanje pod nazivom Polimerska pametna strategija navlaka za titanijske implantate je objavljeno u martu kao članak u časopisu Napredni Inžinjerski Materijali (Advanced Engineering Materials).
BUENOS AIRES, Argentina: Kako svetska populacija stari, povećava se i broj ljudi koje je neophodno učiti kako da pravilno održavaju svoje zubne proteze. ...
TIRUCHIRAPPALLI, Indija: Integracija umjetne inteligencije (AI) u medicinsko snimanje može podržati dijagnozu i smanjiti kliničko opterećenje. Nova ...
Da li treba prvo oprati zube četkicom, pa onda koristiti zubni konac, ili je pravilno obrnuto ili je potpuno svejedno? Naučno istraživanje potvrdilo je ...
Holistički tretman za parodontnu bolest i kao osnova za praksu temeljenu na preventivi – je li ovo moguċ model za novog, hibridnog ...
NOTTINGHAM, Engleska: Upotreba naprednih biomaterijala u stomatologiji nastavlja da dobija na zamahu, nudeći nove načine za popravku i zaštitu zuba bez ...
MALMÖ, Švedska: Bruksizam pogađa i do milijardu ljudi širom sveta. Ovaj čest poremećaj može da uzrokuje ozbiljna oštećenja zuba I zubnih nadoknada....
BOSTON, SAD: Oko 120 učesnika iz 27 zemalja okupilo se u Bostonu od 16. do 18. juna 2025.godine na trenutku koji je prekretnica trenutku u implantologiji, ...
Imedijatna ugradnja implantata smanjuje broj hirurških intervencija i redukuje vreme potrebno da se izvede celokupni tretman. Idealno trodimenzionalno ...
Neophodno je da se upoznamo i da razumijemo sve čimbenike koji mogu dovesti do loma implantata, kao i da savladamo dijagnostičke vještine kako ...
SEOUL, Južna Koreja: Istraživači u Seulu mapirali su embrionalne zubne ćelije koje izgledaju kao da su unaprijed programirane ili za izgradnju samog ...
Webinar uživo
uto. 12 svibnja 2026
7:00 (CET) Sarajevo
Webinar uživo
čet. 14 svibnja 2026
6:00 (CET) Sarajevo
Webinar uživo
čet. 14 svibnja 2026
8:00 (CET) Sarajevo
Prof. Hani Ounsi DDS PhD FICD
Webinar uživo
uto. 19 svibnja 2026
5:00 (CET) Sarajevo
Webinar uživo
uto. 19 svibnja 2026
7:00 (CET) Sarajevo
Prof. Dr. med. dent. Ivo Krejci
Webinar uživo
sri. 20 svibnja 2026
1:00 (CET) Sarajevo
Dr. Graham Carmichael BDSc (Hons), DClinDent (Pros), FRACDS, Dr. Robert Gottlander DDS
Webinar uživo
sri. 20 svibnja 2026
3:00 (CET) Sarajevo
To post a reply please login or register