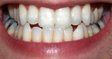
U više od 60 posto slučajeva, mrlja koju je bilo teško odstraniti pogrešno je prepoznata kao kvarenje zuba.
London, Velika Britanija: Mrlje na zubima često se pogrešno tretiraju kao znaci kvarenja zuba, utvrdilo je nedavno provedeno istraživanje. Studija koja je obuhvatila dvije stotine pacijenata u privatnoj stomatološkoj praksi u Velikoj Britaniji, pokazala je u više od 60 posto slučajeva da je mrlja koju je bilo teško odstraniti pogrešno prepoznata kao kvarenje zuba. Da je u pitanju mrlja, a ne kvarenje zuba, ustanovljeno je tek korištenjem aparata za čišćenje zuba koji koristi mlaz finog abrazivnog pudera.
Istraživači su ispitivali jedan određen premolar, lociran između prednjih i zadnjih zuba, i ustanovili su znakove kvarenja zuba u 78 posto slučajeva. Ali čak u 63 posto tih slučajeva uspostavilo se da je uzbuna lažna kada su mrlje ponovo pregledane, ne pomoću ogledalca i sonde, već nakon postupka čišćenja uređajem za abrazivno poliranje Crystal Air. Ovo istraživanje navodi na zaključak da mrlje na zubima mogu dovesti do nepotrebnog brušenja zuba.
Dr. Robin Horton sa Wayside klinike u Harpendenu u Velikoj Britaniji, jedan od rukovodilaca istraživanja, izjavljuje da su „tradicionalni stomatološki pregledi dovodili do nepotrebnih intervencija kod milijuna pacijenata“. Uređaj Crystal Air postupkom abrazije skida sve nečistoće, ostatke hrane i mrlje sa zuba pomoću tankog mlaza čestica aluminij-oksida koje pokreće helij. Uz uređaj se koristi i laserska sonda kojom se utvrđuje prisustvo unutrašnjeg oštećenja metodom usmjeravanja snopa svjetlosti kroz zub. Istraživanje je pokazalo da se korištenje oba dijagnostička sistema pokazalo za 70 posto točnije pri utvrđivanju kvara zuba nego tradicionalni pregled.
Novi uređaj, nada za bruksizam.
Čini se kako danas postoji aplikacija za sve što možete zamisliti, pa evo jedne koja će vam pomoći pri četkanju zuba. Novinari ...
Istraživači koji su proučavali YouTube utvrdili su nerazvijenost potencijalnih on-line video sharing platformi i sličnih stranica ...
Novo izvješće koje je naručila Američka endodontska udruga (American Association of Endodontists ) potvrdilo je rastuću zabrinutost zbog utjecaja ...
DAMMAM, Saudijska Arabija: Estetska dugotrajnost ostaje centralna briga kod kompozitnih restauracija prednjih zuba, gdje je promjena boje čest razlog ...
SEOUL, Južna Koreja: Istraživači u Seulu mapirali su embrionalne zubne ćelije koje izgledaju kao da su unaprijed programirane ili za izgradnju samog ...
ANKARA, Turska: S obzirom na to da dugoročne performanse CAD/CAM restorativnih materijala zavise i od njihovih intrinzičnih svojstava i od reakcije na ...
NOTTINGHAM, Engleska: Upotreba naprednih biomaterijala u stomatologiji nastavlja da dobija na zamahu, nudeći nove načine za popravku i zaštitu zuba bez ...
PELOTAS, Brazil: Krivotvorene i replike nikl-titan (NiTi) endodontskih turpija postaju sve dostupnije na stomatološkim tržištima širom svijeta i mogu ...
BERLIN, Njemačka: Pet godina nakon početka primjene, Uredba EU o medicinskim uređajima 2017/745 (MDR) mijenja način na koji medicinski i stomatološki ...
Webinar uživo
uto. 12 svibnja 2026
7:00 (CET) Sarajevo
Webinar uživo
čet. 14 svibnja 2026
6:00 (CET) Sarajevo
Webinar uživo
čet. 14 svibnja 2026
8:00 (CET) Sarajevo
Prof. Hani Ounsi DDS PhD FICD
Webinar uživo
uto. 19 svibnja 2026
5:00 (CET) Sarajevo
Webinar uživo
uto. 19 svibnja 2026
7:00 (CET) Sarajevo
Prof. Dr. med. dent. Ivo Krejci
Webinar uživo
sri. 20 svibnja 2026
1:00 (CET) Sarajevo
Dr. Graham Carmichael BDSc (Hons), DClinDent (Pros), FRACDS, Dr. Robert Gottlander DDS
Webinar uživo
sri. 20 svibnja 2026
3:00 (CET) Sarajevo
To post a reply please login or register